Panorama + CBCT
CS 8200 3D er Carestreams flagskib inden for kombineret panorama- og CBCT-røntgen. Systemet dækker alle modaliteter — fra daglig diagnostik til avancerede 3D-optagelser — og er opgradérbart, så det vokser med klinikken.
Hvorfor CS 8200 3D
Panorama, CBCT, 3D-modelscan og valgfri cephalometri i én enhed. Ét stativ, én leverandør, én software — og én regning. I slipper for at koordinere på tværs af systemer.
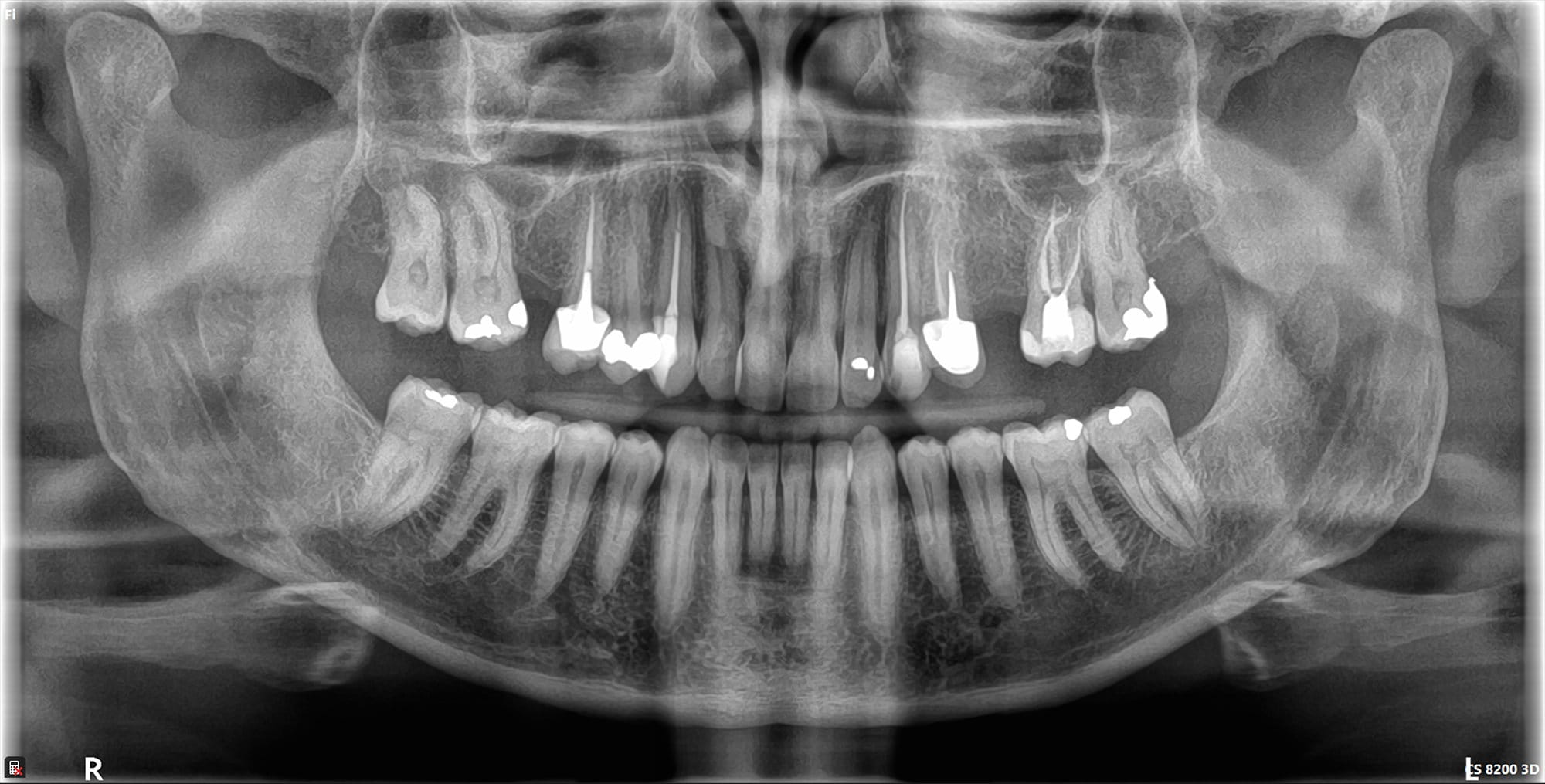
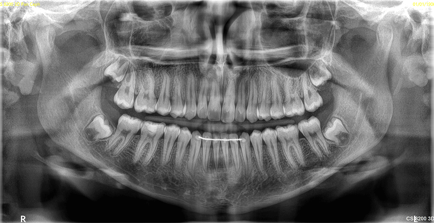
Ultrahøj opløsning til endodonti og præcis diagnostik. Op til 50% lavere dosis på panorama — og 3D-optagelser ved samme dosis som et standard panoramabillede. CS MAR fjerner metalstøj automatisk.
Start med 8×9 cm FOV. Opgradér til 12×10 eller 16×10 cm via en softwareopdatering — uden hardwareskift. Ceph-armen kan tilkøbes når behovet opstår.
Carestream-teknologi
CS 8200 3D er designet til at fylde mindst muligt uden at gå på kompromis med funktionalitet. Det slanke kabinet og det åbne patientdesign gør opstillingen hurtig og behagelig — og enheden passer selv i lokaler med begrænset plads.
Det åbne design og den lave indgangshøjde gør CS 8200 3D tilgængelig for patienter med nedsat mobilitet. Enheden kan betjenes fra kørestol uden ekstra tilpasninger — så klinikken kan tilbyde høj standard til alle patientgrupper.
Automatisk optegnelse af nervekanal, AI-drevet implantatplanlægning (PDIP) og AI Insights til automatiseret billedanalyse. Sparer tid og øger diagnostisk præcision.
CS MAR-teknologien reducerer automatisk forstyrrende artefakter fra implantater, kroner og fyldninger – så du får et klart billede og kan stille en sikker diagnose.
Tomosharp er Carestreams nyeste algoritme til panoramabilleder. Teknologien genkender automatisk de skarpeste områder i billedet og rekonstruerer det bedst mulige resultat – selv ved uperfekt patientpositionering.
Som Danmarks eneste dentale radiologispecialist har DenTec direkte PACS-forbindelse til Rigshospitalets Sectra PACS. Henvis patienter og modtag diagnostiske billeder digitalt — direkte fra CS Imaging 8.
Opgraderbar platform
CS 8200 3D leveres i tre FOV-konfigurationer der kan opgraderes via software — uden at skifte hardware.
8 × 9 cm
Standardkonfiguration
Dækker daglig diagnostik, endodonti og implantatplanlægning i en enkelt kæbe.
Mest populær
12 × 10 cm
Mellemkonfiguration
Dækker begge kæber og er velegnet til oral kirurgi, parodontologi og ortodonti.
16 × 10 cm
Udvidet konfiguration
Maksimal dækning — ideel til komplekse cases og specialklinikker med brede diagnostiske behov.
Kliniske anvendelser
CS 8200 3D leverer diagnostisk brugbare CBCT- og panoramabilleder til endodonti, implantatplanlægning, parodontologi, ortodonti og oral kirurgi.
Interaktiv oplevelse
Gå på opdagelse i apparatets opbygning og funktioner — direkte i browseren. Se CBCT-felter, detailtegninger og nøglespecifikationer i en interaktiv 3D-oplevelse.
Start oplevelsen
Tekniske data
De detaljer der gør den store forskel ved installation og daglig brug. Kontakt os for fuldt datablad.
| Parameter | Værdi |
|---|---|
| CBCT-opløsning | 75, 150, 300 og 400 mikron |
| FOV (Synsfelt) | 4×4 til 16×10 cm — op til 11 størrelser |
| Eksponeringstid 3D | 3–20 sekunder |
| Eksponeringstid panorama | 2–14 sekunder |
| Eksponeringstid ceph | 2,9–11 sekunder |
| Dosisreduktion | Op til 50% på panorama |
| Sensor | CMOS flat-panel detektor |
| Cephalometri | Valgfri Scan Ceph-arm |
| AI-funktioner | Nervekanal, PDIP implantatplanlægning, AI Insights |
| Metalstøj-reduktion | CS MAR (automatisk) |
| Pladskrav (min.) | Uden ceph arm: 1200 (L) × 1400 (D) × 2400 (H) mm Med ceph arm: 2000 (L) × 1400 (D) × 2400 (H) mm |
| Software | Carestream Imaging 8 (inkluderet) |
Har I spørgsmål til specifikationerne?
Claus og teamet kender produktet indgående og hjælper gerne med at afgøre hvilken konfiguration der passer til jeres klinik.
Ring eller skriv til os"Det har været en fornøjelse at handle med Claus, som fra første kontakt har været utrolig hjælpsom og serviceorienteret. Ud over den fantastiske kundeservice og hurtige levering er jeg imponeret over kvaliteten af de optagelser CS 8200 3D leverer."
Kom i kontakt
I en travl hverdag er gode, holdbare og hurtige løsninger alfa omega. Hos DenTec er vi klar til at hjælpe — både når hverdagens udfordringer skal håndteres, og når den strategiske indkøbsplan skal kvalificeres.
Er der behov for onsite hjælp eller rådgivning, kommer vi altid gerne på besøg.