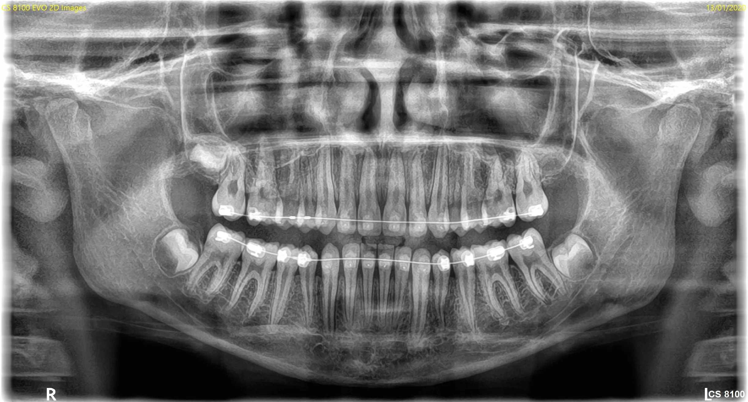
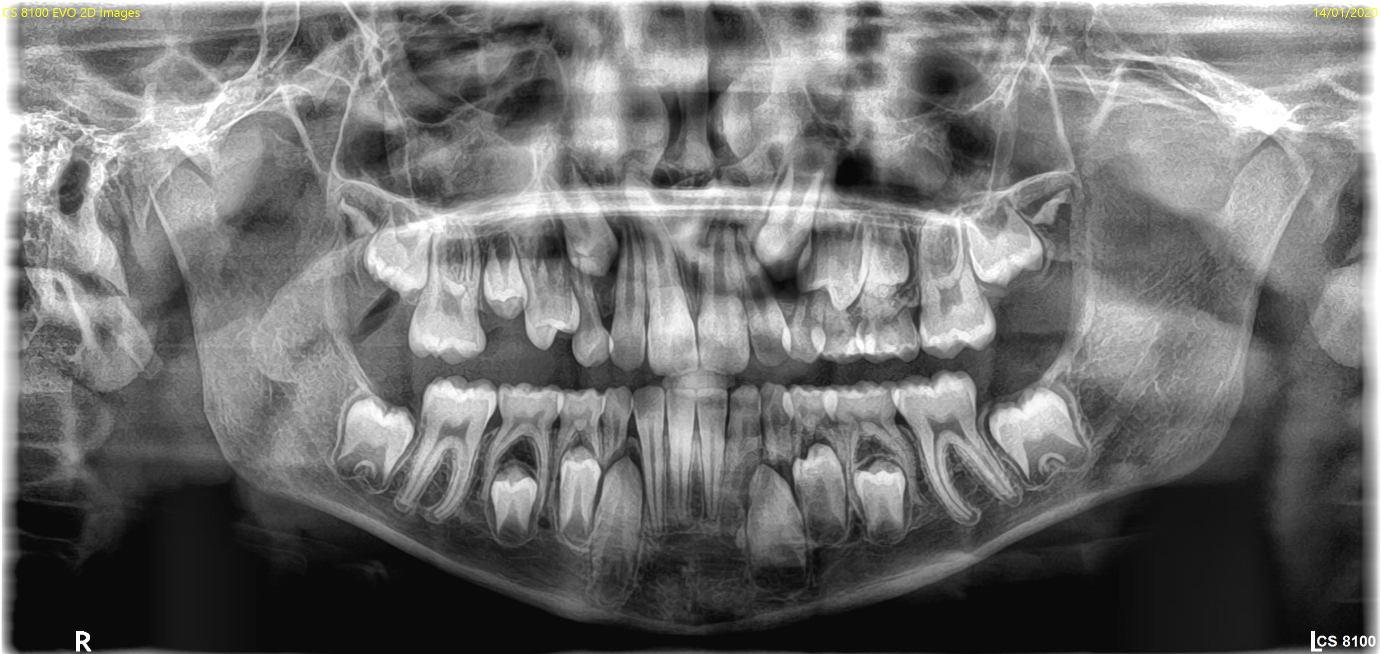
Panorama + Cephalometri
CS 8100SC bygger på det prisvindende CS 8100 og tilføjer et integreret cephalostatsmodul — så klinikken kan tage skarpe profilbilleder på blot 3 sekunder. Med automatisk cephalometrisk tracering på 10 sekunder er det det oplagte valg til orthodontiske og pædiatriske klinikker.
Hvorfor CS 8100SC
Det integrerede cephalostatsmodul leverer laterale profilbilleder (18×24 cm) på blot 3 sekunder i Fast Scan-tilstand. Den korte eksponeringstid reducerer risikoen for bevægelsesartefakter markant — og giver skarpe, diagnostisk brugbare billeder selv ved urolige patienter.
Carestream Imaging 8 udfører fuldt automatisk cephalometrisk tracering på 10 sekunder efter optagelsen. Det sparer klinisk tid og giver et konsistent analyseudgangspunkt — uanset hvem der udfører optagelsen.
CS 8100SC er én samlet enhed med panorama og cephalometri under samme tag. Ét stativ, ét workflow, én software. Klinikken slipper for at koordinere på tværs af separate systemer og sparer både plads og vedligeholdelsesomkostninger.
Carestream-teknologi
ScanCeph-armen er fast monteret på CS 8100SC og klar til brug uden om- eller tilbygning. Det åbne og ergonomiske design sikrer komfortabel positionering for voksne, børn og patienter med nedsat mobilitet — og den hurtige scanningshastighed gør det særligt velegnet til børn.
CS 8100SC arver alle panoramaegenskaber fra CS 8100 — inkl. Tomosharp-algoritmen der automatisk rekonstruerer de skarpeste billeder ud fra patientens anatomi og det laserfrie positioneringssystem med bredt fokusslag.
Carestream Imaging 8 håndterer både panorama- og ceph-billeder i ét og samme interface. Automatisk tracering, side-by-side sammenligning og eksport til PMS og DICOM — alt tilgængeligt med det samme efter optagelsen.
Kliniske anvendelser
CS 8100SC dækker alle hverdagsindikationer: fra standard panoramabilleder til laterale profiloptagelser til ortodontisk analyse.
Tekniske data
Nøgletallene for CS 8100SC. Kontakt os for fuldt datablad og konfigurationsoversigt.
| Parameter | Værdi |
|---|---|
| Modaliteter | 2D-panorama + cephalometri |
| Pixelstørrelse | 99 µm |
| Panorama optagelsestid | 14 sekunder (standard) |
| Ceph optagelsestid | 3 sekunder (18×24 cm, Fast Scan) |
| Auto-tracering | 10 sekunder (fuldt automatisk) |
| Detektor | CsI-scintillator med CMOS-sensor |
| Rørspænding | 60–90 kV |
| Strømstyrke | 2–15 mA |
| Patientpositionering | Laserfri — bredt fokusslag for øget tolerancemargen |
| Panoramaprogrammer | Standard, børn, TMJ, sinus, ekstraoral bitewing |
| Software | Carestream Imaging 8 (inkluderet) |
Klar til at se CS 8100SC i praksis?
Claus og teamet gennemgår gerne CS 8100SC med jer og hjælper med at finde den rigtige konfiguration til jeres klinik.
Ring eller skriv til osKom i kontakt
I en travl hverdag er gode, holdbare og hurtige løsninger alfa omega. Hos DenTec er vi klar til at hjælpe — både når hverdagens udfordringer skal håndteres, og når den strategiske indkøbsplan skal kvalificeres.
Er der behov for onsite hjælp eller rådgivning, kommer vi altid gerne på besøg.