Intraoral sensor — Enkel, pålidelig og skarp
RVG 5200 er Carestreams indgangsmodel til direkte digital intraoral røntgen. SuperCMOS-teknologien leverer 16 lp/mm opløsning og bred eksponationsbredde, der minimerer over- og undereksponering. Sensoren fås i to størrelser og fungerer lige til at sætte op — ingen plader, ingen scanning, ingen ventetid.
Hvorfor RVG 5200
RVG 5200 bruger Carestreams SuperCMOS-teknologi med optisk fiberscintillator og leverer 16 lp/mm sand opløsning. Den brede eksponeringsbredde sikrer brugbare billeder selv ved varierende røntgenindstillinger — og reducerer behovet for gentagelsesoptagelser.
Størrelse 1 er kompakt og let at placere, ideel til patienter med lille mund og til anteriore billeder. Størrelse 2 dækker et større aktivt areal og er optimeret til bitewing og posteriore periapikalbilleder. Begge modeller deles om det samme workflow og software.
RVG 5200 er designet til at holde. Det forstærkede kabel er 20% tyndere end forgængermodellen og har Teflon-belægning for reduceret friktion. Antallet af forbindelsespunkter er halveret for øget holdbarhed — og sensoren tåler desinfektion og nedsænkning.
Carestream-teknologi
SuperCMOS-teknologien kombinerer en optisk fiberscintillator direkte koblet til CMOS-billedsensoren. Det minimerer lysspredning og giver en skarpere billedkant, høj kontrast og lav billedstøj — selv ved lave eksponeringsværdier. Resultatet er diagnostisk brugbare billeder, der reducerer stråledosis.
CS Imaging 8 tilbyder tre anatomisk tilpassede billedforbedringstilstande direkte til RVG 5200-billeder: endodontisk, parodontologisk og emalje-dentin-forbindelsen. Hvert filter fremhæver de strukturer der er relevante for den aktuelle indikation — ingen manuel billedbehandling nødvendig.
RVG 5200 er TWAIN-kompatibel og integreres med langt de fleste PMS- og billedbehandlingssystemer. Sensoren forbindes via USB 2.0 Hi-Speed og kræver ingen særlig driver eller hardware-controller — blot plug-and-play direkte til behandlingsrummets computer.
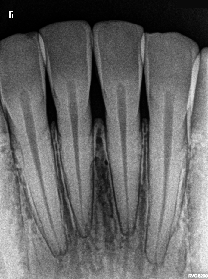
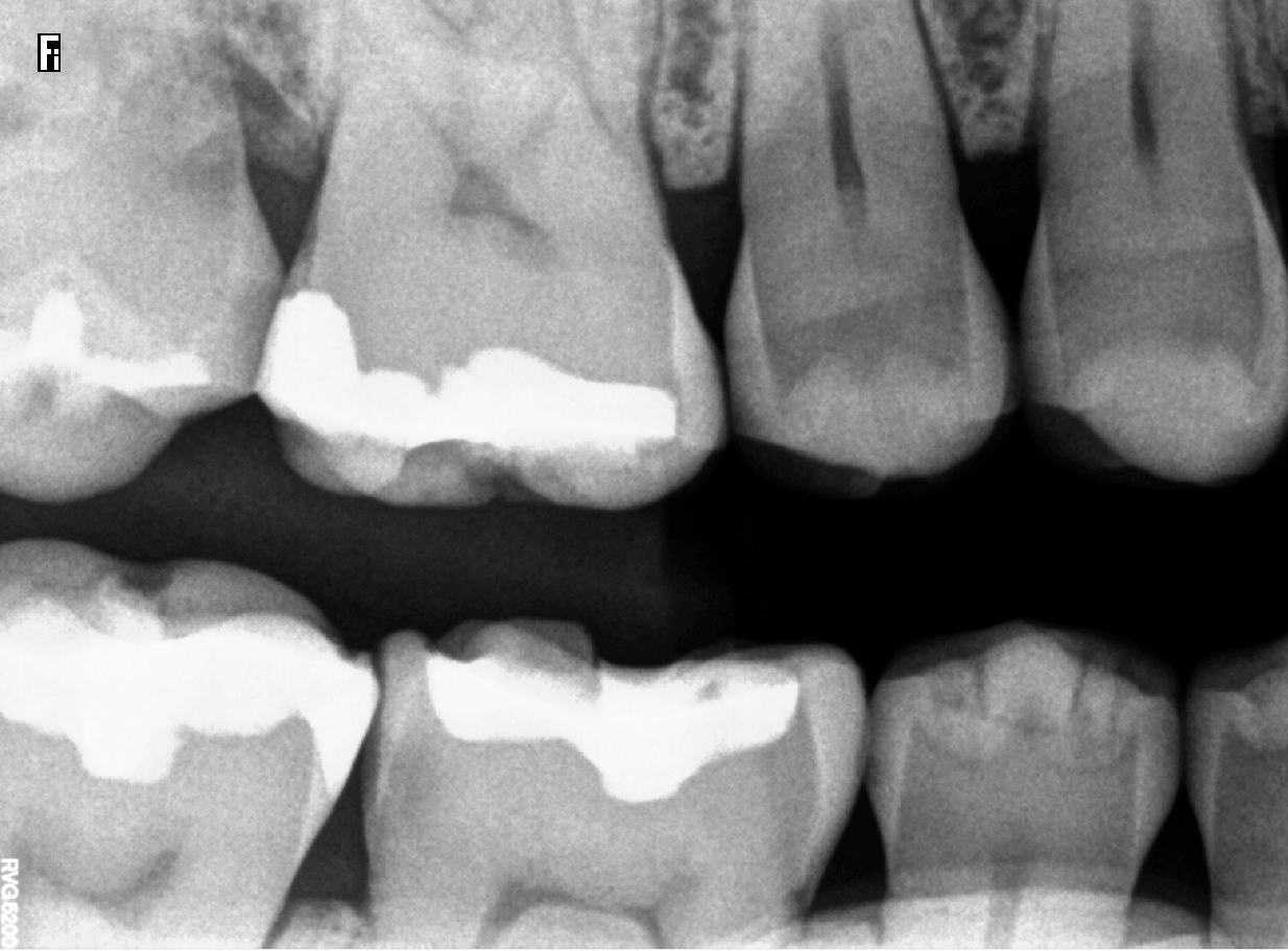
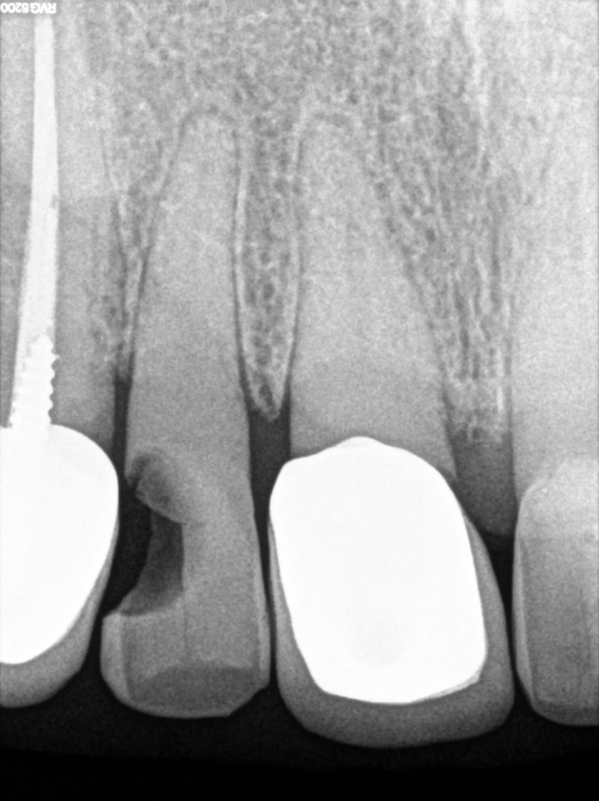
Kliniske billeder
RVG 5200 leverer konsistente, diagnostisk brugbare billeder ved periapikale optagelser, bitewing og anteriore billeder.
Tekniske data
Nøgletallene for RVG 5200. Kontakt os for fuldt datablad og konfigurationsoversigt.
| Parameter | Værdi |
|---|---|
| Modalitet | Direkte digital intraoralsensor |
| Teknologi | SuperCMOS med optisk fiberscintillator |
| Opløsning | 16 lp/mm |
| Pixelstørrelse | 19 µm |
| Størrelse 1 — mål | 27,6 × 37,7 × 7,3 mm / aktivt areal 22,2 × 29,6 mm |
| Størrelse 2 — mål | 32,2 × 44,2 × 7,3 mm / aktivt areal 26,6 × 35,5 mm |
| Tilslutning | USB 2.0 Hi-Speed |
| Softwarekompatibilitet | TWAIN-kompatibel — integreres med de fleste PMS-systemer |
| Software | CS Imaging 8 (inkluderet) |
Klar til at se RVG 5200 i praksis?
Claus og teamet gennemgår gerne RVG 5200 med jer og hjælper med at finde den rigtige størrelse og konfiguration til jeres klinik.
Ring eller skriv til osKom i kontakt
I en travl hverdag er gode, holdbare og hurtige løsninger alfa omega. Hos DenTec er vi klar til at hjælpe — både når hverdagens udfordringer skal håndteres, og når den strategiske indkøbsplan skal kvalificeres.
Er der behov for onsite hjælp eller rådgivning, kommer vi altid gerne på besøg.