Intraoral sensor — Skarpeste opløsning og AI-diagnostik
RVG 6200 er Carestreams topmodel inden for intraoral røntgen. CMOS-fiberscintillatoren leverer 24 lp/mm — og billedet er på skærmen i samme øjeblik du eksponerer, uden armering og uden ekstra klik. Med den valgfrie AI Insights-pakke analyserer softwaren automatisk dine optagelser og markerer caries, knogletab og restaureringer.
Hvorfor RVG 6200
RVG 6200 bruger en CMOS-fiberscintillator der leverer 24 lp/mm sand opløsning. Det giver ekstraordinær skarphed ved periapikale billeder, bitewing og endodontiske optagelser — og gør det muligt at opdage selv de mindste læsioner og ændringer i knoglens struktur.
Med RVG 6200 er billedet på skærmen i samme sekund du eksponerer. Sensoren er konstant klar og kræver hverken armering eller softwareåbning inden optagelse. Det eliminerer friktion i arbejdsgangen og sparer tid ved hver eneste optagelse — dag efter dag.
Med den valgfrie AI Insights-pakke (Pearl Second Opinion) analyserer softwaren automatisk dine intraorale billeder og fremhæver fund som caries, knogletab og restaureringer med farvekodede markeringer. Caries Pro Mode viser læsionens dybde og placering — emalje eller dentin, mesial eller distal — og resultater kan eksporteres som rapport med ét klik.
Carestream-teknologi
CS Adapt giver adgang til over 40 foruddefinerede billedfiltre optimeret til alt fra endodonti og periodonti til implantatvurdering og kariesscreening. Egne præferencer kan gemmes og genbruges, så hele klinikken arbejder med konsistente billedindstillinger — optagelse efter optagelse.
Kablet udgår fra sensorens bagside frem for siden, hvilket reducerer bulk ved indgangspunktet og giver bedre plads til at positionere sensoren korrekt — særligt ved posteriore billeder og patienter med lille mundåbning. Kablet er 20% tyndere end forgængermodellen og har Teflon-belægning for reduceret friktion.
RVG 6200 er vandtæt, stødabsorberende og designet til at modstå bid, stød og tab. Antallet af forbindelsespunkter i kablet er halveret for øget holdbarhed, og sensoren tåler desinfektion med godkendte midler. Hygiejnebetræk sikrer enkel infektionskontrol ved hver patient.
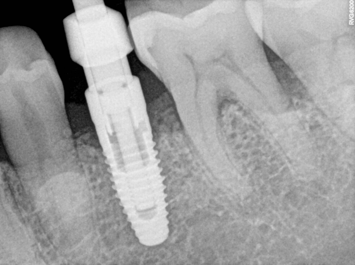
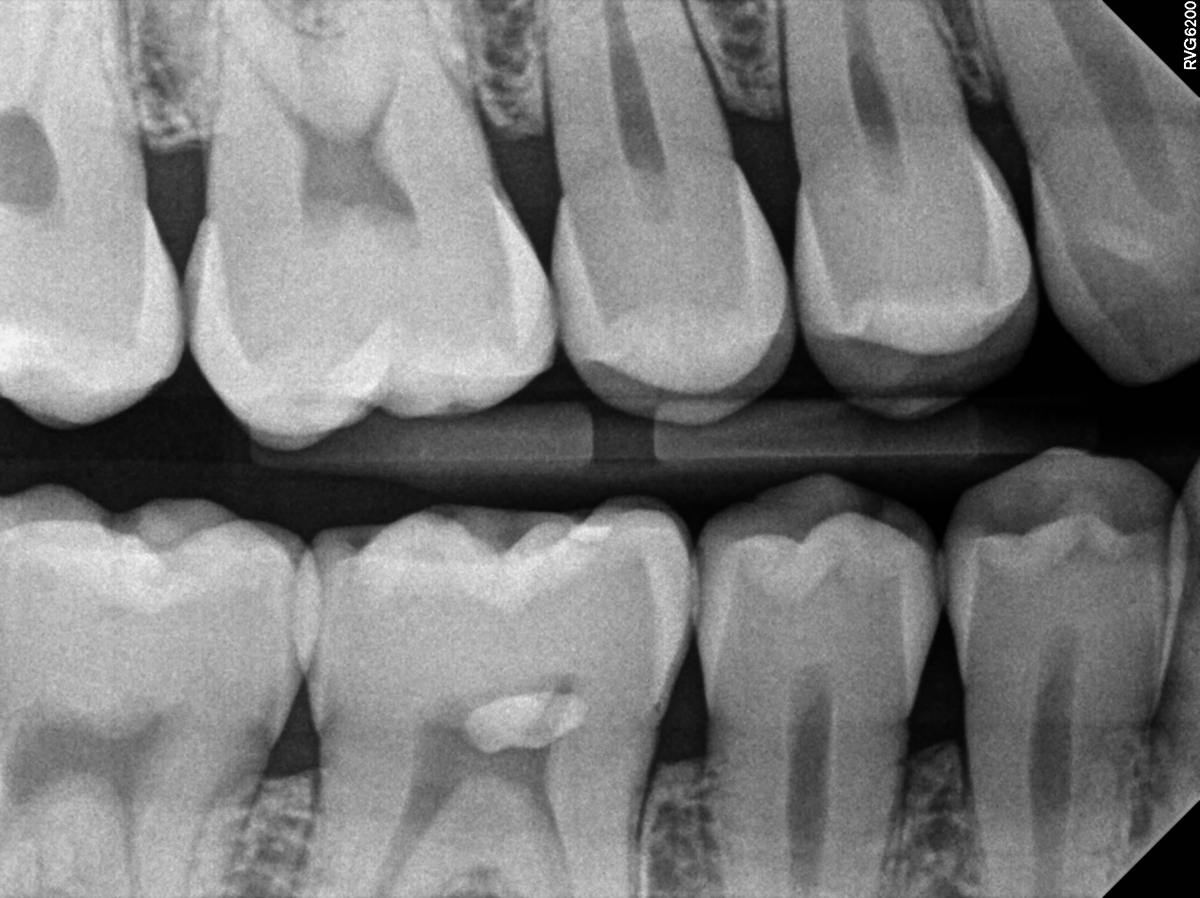
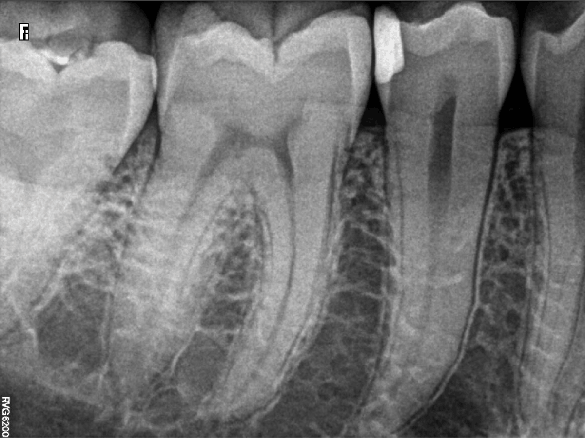
Kliniske billeder
RVG 6200 leverer ekstraordinær skarphed på tværs af alle intraoralbilleder — fra bitewing til kompleks endodonti og implantatvurdering.
Tekniske data
Nøgletallene for RVG 6200. Kontakt os for fuldt datablad og konfigurationsoversigt.
| Parameter | Værdi |
|---|---|
| Modalitet | Direkte digital intraoralsensor |
| Teknologi | CMOS med optisk fiberscintillator |
| Opløsning | 24 lp/mm |
| Størrelse 1 — mål | 27,6 × 37,7 × 7,3 mm / aktivt areal 22,2 × 29,6 mm |
| Størrelse 2 — mål | 32,2 × 44,2 × 7,3 mm / aktivt areal 26,6 × 35,5 mm |
| Billedvisning | Øjeblikkelig — ingen armering nødvendig |
| Billedfiltre | CS Adapt — 40+ foruddefinerede filtre, tilpasses individuelt |
| AI-diagnostik | AI Insights med Pearl Second Opinion (valgfri pakke) |
| Tilslutning | USB 2.0 Hi-Speed |
| Softwarekompatibilitet | TWAIN-kompatibel — integreres med de fleste PMS-systemer |
| Software | CS Imaging 8 (inkluderet) |
Klar til at se RVG 6200 i praksis?
Claus og teamet gennemgår gerne RVG 6200 med jer — herunder AI Insights-pakken og hvad den konkret kan bidrage med i jeres klinik.
Ring eller skriv til osKom i kontakt
I en travl hverdag er gode, holdbare og hurtige løsninger alfa omega. Hos DenTec er vi klar til at hjælpe — både når hverdagens udfordringer skal håndteres, og når den strategiske indkøbsplan skal kvalificeres.
Er der behov for onsite hjælp eller rådgivning, kommer vi altid gerne på besøg.