Panoramarøntgen — Kompakt og præcis
CS 8100 er bygget til klinikker der vil have pålidelige, skarpe panoramabilleder uden besværet ved avancerede systemer. Tomosharp-teknologien rekonstruerer automatisk det bedst mulige billede ud fra patientens anatomi — færre gentagelser, lavere dosis og et resultat du kan stole på hver gang.
Hvorfor CS 8100
CS 8100 leverer et komplet panoramabillede på blot 14 sekunder. Den hurtige optagelsestid reducerer bevægelsesartefakter og gør det lettere at håndtere urolige patienter — uden at gå på kompromis med billedkvaliteten.
Carestreams CsI-scintillatorteknologi kombineret med præcis strålekollimering sikrer optimal billedkvalitet med minimal eksponering. CS 8100 opfylder ALARA-princippet og er CBCT-fri — ideel til den daglige diagnostik i almen tandlægepraksis.
Det lille fodaftryk gør CS 8100 velegnet selv i klinikker med begrænset plads. Enheden fås med valgfrit cephalostatsmodul (CS 8100 SC) til ortodontiske klinikker — og kan integreres direkte med Carestream Imaging 8-softwaren.
Carestream-teknologi
CS 8100 bruger et ekstra bredt fokusslag frem for laserstråler til patientpositionering. Det giver en større tolerancemargen ved opstilling og reducerer antallet af gentagelsesoptagelser — uden at gå på kompromis med billedkvaliteten. Resultatet er korrekte optagelser hurtigere, uanset operatørens erfaring.
CS 8100 tilbyder dedikerede programmer til voksne, børn, TMJ, sinus og ekstraoral bitewing. Hvert program er optimeret til den givne indikation, så operatøren hurtigt kan vælge det rette setup — og klinikken får konsistente billeder på tværs af alle patientgrupper.
CS 8100 integreres problemfrit med Carestream Imaging 8 — klinikkens samlede platform til røntgenhåndtering, analyse og patientarkivering. Billederne er tilgængelige med det samme efter optagelse, og softwaren understøtter eksport til PMS og DICOM-arkivering.
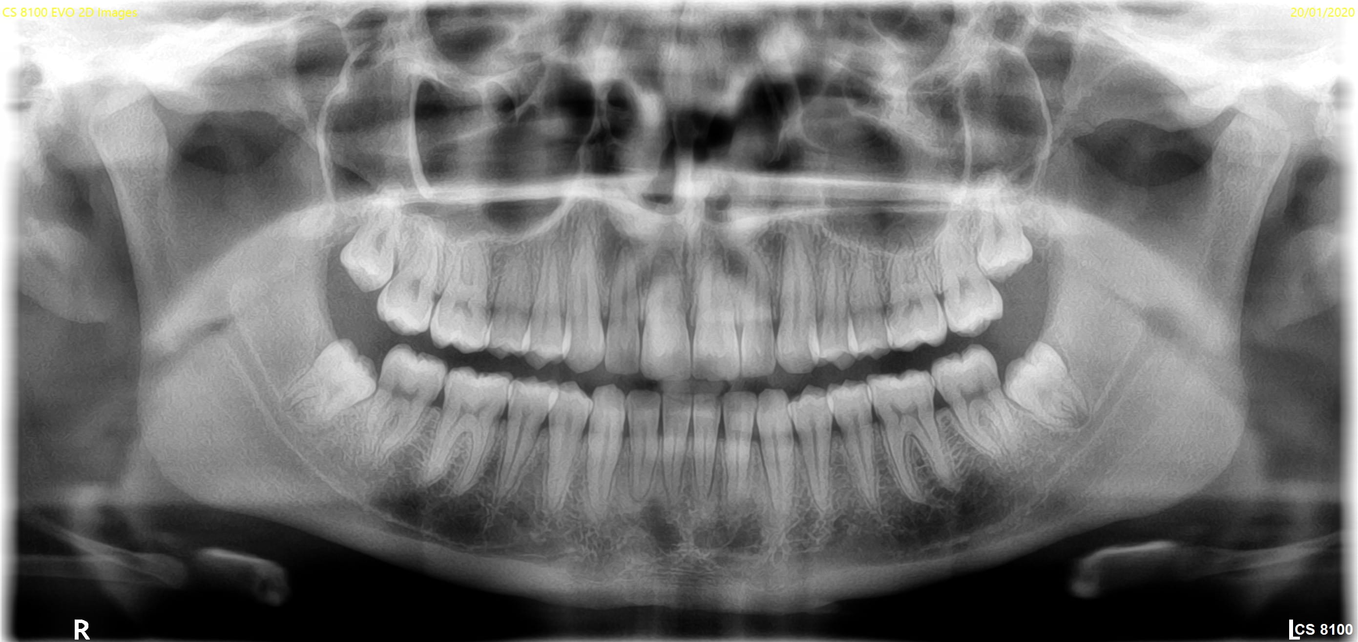
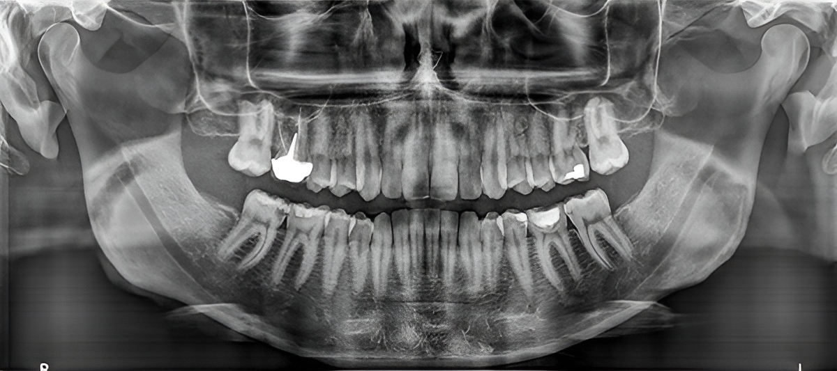
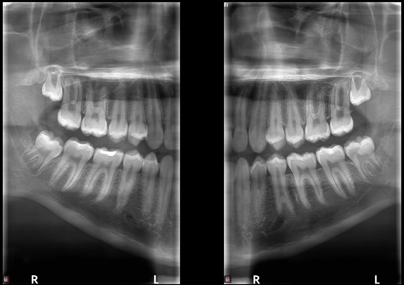
Kliniske anvendelser
CS 8100 leverer skarpe, diagnostisk brugbare billeder på tværs af de mest almindelige panoramaindicationer.
Tekniske data
Nøgletallene for CS 8100. Kontakt os for fuldt datablad og konfigurationsoversigt.
| Parameter | Værdi |
|---|---|
| Modalitet | 2D-panorama |
| Pixelstørrelse | 99 µm |
| Optagelsestid | 14 sekunder (standard panorama) |
| Detektor | CsI-scintillator med CMOS-sensor |
| Rørspænding | 60–90 kV |
| Strømstyrke | 2–15 mA |
| Patientpositionering | Laserfri — bredt fokusslag for øget tolerancemargen |
| Optagelsesprogrammer | Standard, børn, TMJ, sinus, ekstraoral bitewing |
| Cephalostatsmodul | Valgfrit (CS 8100 SC) |
| Software | Carestream Imaging 8 (inkluderet) |
Klar til at se CS 8100 i praksis?
Claus og teamet gennemgår gerne CS 8100 med jer og hjælper med at finde den rigtige konfiguration til jeres klinik.
Ring eller skriv til osKom i kontakt
I en travl hverdag er gode, holdbare og hurtige løsninger alfa omega. Hos DenTec er vi klar til at hjælpe — både når hverdagens udfordringer skal håndteres, og når den strategiske indkøbsplan skal kvalificeres.
Er der behov for onsite hjælp eller rådgivning, kommer vi altid gerne på besøg.